Dilated Cardiomyopathy Casebook

    Dilated Cardiomyopathy Casebook

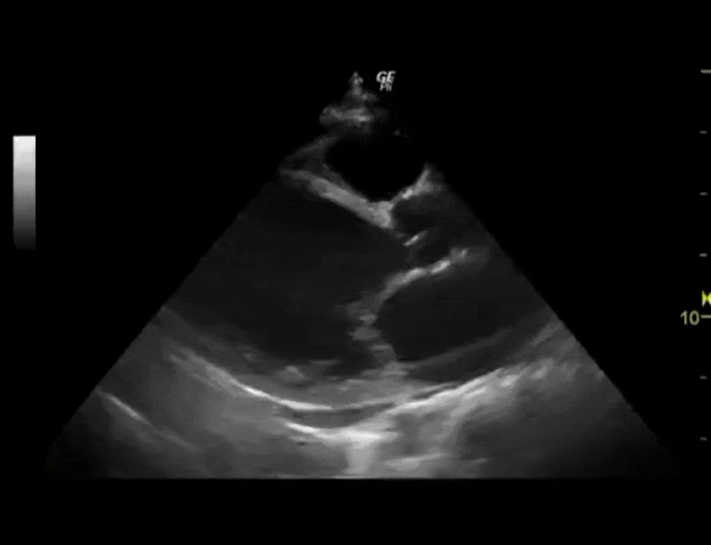
    Echocardiogram cardiomyopathy intensive

    HD
    GIF
    Share
    Report

    Related GIFs

    loadingBombon Says 'Me Da Igual' (I Don't Care)
    loadingmotion_地球爆炸快乐motionpictures动图
    loadingMental Health Mindfulness
    loadingHa Ha Ha Sigma Baby with 'I Don't Care' Attitude
    loadingBrilliant Actor, Ain't He?
    loadingKarthi Head Nod
    loadingGood Evening Sparkles with Betty Boop & Friends
    loadingSebastian Stan's Charming Slow Motion Smile
    loadingGuy Tang Washing Client's Hair
    loadingThe Doctor and Clara's Weapons
    loadingNick and Jess OTP
    loadingWill & Grace: Turns Out I Don't Care That Much